Types of Appliances
Carriere® Motion 3D Appliances
The Carriere® Motion 3D™ Appliances are used to correct either a Class II (increased overjet) or a Class III (underbite) relationship.
Benefits of Motion 3D
- Fast: Correcting bite problems at the beginning of orthodontic treatment can shorten overall treatment time by up to four months!
- Gentle: The low force, low profile design of the Motion 3D Appliance eliminates poking of the lips and cheeks.
- Aesthetic: Unlike bulky headgear, the Motion 3D Appliance is discreetly hidden inside your mouth.
Rapid Palatal Expander (RPE)
This appliance gently widens the upper jaw by separating the maxillary bones, making room for teeth alignment and correcting crossbites. It’s especially effective in young patients whose jaws are still developing.

Forsus™
The Forsus Fatigue Resistant Device is an alternative to headgear which helps correct a Class II relationship. It eliminates excessive overjets, improves the fit of teeth, and possibly prevents the need for jaw surgery.
Temporary Anchorage Device (TAD)

Temporary anchorage devices, or TADs, are small titanium anchors used in certain orthodontic cases to help achieve quicker tooth movement with more efficiency and comfort. TADs may be used in addition to braces or as an alternative to headgear.
How are TADs placed?
A strong anesthetic is used to numb the gum tissue and the jaw surrounding the area where the TAD will be placed. Once the area is numb, your doctor will gently place the TAD through the gum tissue and firmly into the jawbone. The placing of a TAD is quick, and may be over before you know it. While your doctor is placing the TAD, you may feel slight pressure, but within a day, you will no longer be able to feel the TAD. Your TAD is removed once your treatment is complete, or when it is no longer needed to help straighten your teeth. Removal of a TAD is a comfortable procedure that takes just a few minutes.
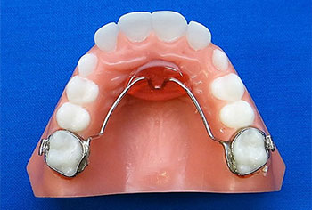
Nance Appliance

- Purpose: Its primary function is to serve as a space maintainer, holding the upper molars in their corrected position, especially after the premature loss of a baby tooth or during other orthodontic treatments.
- Design: It consists of stainless steel bands fitted around the upper first molars, connected by a wire that runs across the roof of the mouth to a small acrylic pad (or "button") resting on the palate.
- Usage: It helps to prevent overcrowding and ensures that permanent teeth have enough room to erupt properly.

Lower Lingual Holding Arch (LLHA)
A Lower Lingual Holding Arch (LLHA) is a fixed orthodontic appliance for kids that's cemented to the lower first permanent molars, featuring a wire along the inside (lingual) of the teeth to act as a space maintainer, preventing front teeth from crowding by stopping molars from drifting forward and keeping crucial space for permanent teeth to erupt correctly, especially after baby teeth are lost.
Trans-Palatal Arch (TPA)
TPA maintains or adjusts the position of upper molars. It consists of bands around the upper molars connected by a wire, helping to derotate molars and stabilize the bite.